2025年10月,《新英格兰医学杂志》(NEJM)刊登了一项具有里程碑意义的多中心临床研究:由波恩大学、斯坦福大学与匹兹堡大学、Moorfields眼科医院等专家联合领导的国际团队,首次证实一种无线光伏视网膜植入系统(PRIMA system)能够在晚期年龄相关性黄斑变性(AMD)所致地图样萎缩(GA)患者中恢复功能性中央视力:80%的患者视力显著改善,并能够阅读字母、数字和单词。

这项由一支庞大的国际医生和科学家团队历经多年研发的成果,代表了视力丧失治疗领域的重大突破。据悉,该研究的数据安全监测委员会建议批准 PRIMA 在欧洲上市,理由是该疗法对患者的益处大于植入手术的风险,目前已在欧洲申请监管部门的批准,并希望明年 PRIMA 能够应用于患者。美国FDA 的审批程序正在进行中。

01 临床背景
AMD是老年人群不可逆失明的最常见原因。地图样萎缩是干性(非渗出性)AMD 的晚期阶段,会导致感光细胞与视网膜色素上皮细胞进行性、不可逆死亡,进而造成严重视力丧失。全球约有 500 万人受地图样萎缩影响,其在北美所有法定失明病例中占比约 20%。针对地图样萎缩的首批疗法(pegcetacoplan与avacincaptad pegol)通过抑制补体级联反应延缓疾病进展,这些疗法近期已在美国获批,且需每月或每两个月进行玻璃体内注射。然而,目前尚无获批疗法、试验性方案或细胞疗法能实现视力的有意义改善。
02 技术原理
在健康视网膜中,感光细胞将光信号转换为电信号,随后经视网膜内层处理并传递至大脑。而在地图样萎缩患者中,由于感光细胞缺失,光信号无法转换为电信号,从而形成绝对暗点(盲区)。

视网膜下光伏植入微阵列(PRIMA)神经刺激系统可替代缺失的感光细胞。其绕过丢失的光感受器,并通过两个组件刺激视网膜中剩余的细胞。
PRIMA系统由两个核心部件组成:
光伏视网膜植入芯片:面积为 2mm×2mm,厚度 30μm,是由 378 个 100μm 宽光伏像素组成的薄型晶体硅阵列。该阵列植入于萎缩病灶区的视网膜下。
专用光学眼镜:其镜架装摄像头捕获图像,经处理后通过近红外光(波长 880nm)投射至植入物(下图)。

工作原理:植入芯片中的像素将近红外光转换为电脉冲,刺激视网膜双极细胞,从而恢复视觉信息传导。与有线假体不同,植入芯片的光伏特性使其可实现无线工作,且植入手术操作简便。PRIMA 眼镜的镜片具有透明性,因此受试者可同时拥有自然视力与假体中央视力。
这一“光能驱动—神经刺激”模式,使PRIMA成为完全无线、结构超薄、手术创伤小的视觉重建平台。

图示:PRIMA 入物的放大照片显示了其重复的六边形红外光供电电极网格。
03 安全性与有效性
经过大量临床前测试,首项人体临床试验评估了 PRIMA 系统在 5 例 AMD 相关性地图样萎缩受试者中的可行性。尽管该可行性试验的主要终点是通过植入物实现光感知,但经过优化与训练后,3 例受试者可稳定识别字母序列,其视力接近 100μm 像素宽度所允许的最大分辨率(20/420)。4 年后,这 3 例受试者可阅读小字体,平均斯内伦视力达 20/135。
本次研究则评估了 PRIMA 系统在 AMD 相关性地图样萎缩患者中的有效性与安全性。这项名为PRIMAvera的临床试验在欧洲5国17家中心开展,共纳入38例GA患者(平均年龄78.9岁),其中32例完成12个月随访。6 例未完成评估的受试者中,3 例死亡、1 例退出研究、2 例无法参与检测。


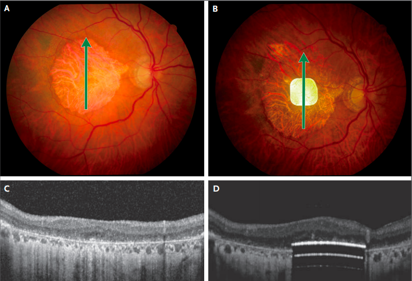
图示:植入前后的视网膜成像
在完成 12 个月随访的 32 例受试者中,PRIMA 系统使 26 例(81%)的视力从基线水平获得具有临床意义的改善。对 6 例缺失数据的受试者进行校正后,研究者估算所有受试者在 12 个月时获得临床意义改善的比例为 80%。19 例受试者共发生 26 起严重不良事件,其中 21 起(81%)发生在术后 2 个月内,且 20 起(95%)在发生后 2 个月内缓解。植入后受试者的平均自然周边视力与基线水平相当。
主要疗效终点:在12个月时,26/32名患者(81%)获得≥0.2 logMAR(约等于≥10 ETDRS字母)的显著视力改善(P<0.001),多重插补后推算总体改善率为80%。平均视力提升约0.51 logMAR(25.5个字母),个别病例改善达1.18 logMAR。
视觉表现:84%的受试者在家中能利用PRIMA进行阅读字母、数字与单词,最高可辨识相当于20/420的分辨率——接近现阶段装置的物理极限。
安全性:未观察到患者原有平均周边自然视力出现显著下降。该植入物可安全植入萎缩性黄斑下方。9 名参与者在术后 12 个月内共报告 26 起严重不良事件,主要发生在植入后的前 2 个月内,与手术相关(如短暂眼压升高、轻度出血、局灶性裂孔等),且 95% 的此类事件在 2 个月内得到缓解。

图示:视力相对于基线的变化
04 技术突破与临床意义
其他低视力辅助设备(如眼外放大镜或植入式眼底黄斑镜)通过放大图像以利用萎缩区域边缘以外的视网膜功能,通常视力平均改善 0.24 logMAR,且会放大整个视野。相比之下,PRIMA 系统可恢复暗点区域的视力,仅放大假体中央视力,不影响自然周边视力。通过植入物分辨率测试评估的受试者平均自然分辨率(即不受外部因素影响的分辨率)与 PRIMA 植入物的理论分辨率(约 1.3 logMAR)相近,而通过变焦、增强对比度及其他图像调整功能,受试者可实现超出该分辨率的视力改善。
此前已有研究尝试通过视网膜前植入物 Argus II、视网膜下植入物 Alpha IMS与脉络膜上植入物实现假体视力。Argus II 的分辨率有限,因其电极中心间距较大(报告的最大视力为 1.8 logMAR),且刺激远端视网膜神经节细胞的轴突,导致视网膜拓扑图扭曲。脉络膜上植入物距离视网膜神经元较远,分辨率约为 3.0 logMAR,低于视网膜前植入物。
使用 PRIMA 系统时,受试者可通过眼球运动(而非头部运动)调整植入物的朝向,眼球运动可使视力超出 PRIMA 植入物 100μm 像素的理论分辨率,这种改善可能与传统相机中通过超分辨率算法实现高于像素尺寸分辨率的机制类似。与视网膜前植入物不同,PRIMA 植入物刺激双极细胞而非神经节细胞,可保留视网膜内层的信号处理特征。
综上,其独特优势包括:
无线设计、无需穿透眼球壁导线;
刺激双极细胞而非神经节细胞,保留视网膜内在信号加工;
可通过眼球运动完成视野定位(非头部运动),提升视觉自然度;
具备放大、对比增强与亮度调节等数字增强功能。
05 医患评语与未来展望
PRIMA 是斯坦福大学眼科医生 Daniel Palanker 的创新研究成果,他也是这项研究论文的共同资深作者。“患者最希望得到的是阅读,但紧随其后的是人脸识别。而人脸识别需要灰度图像,”Palanker 说。“这是该芯片的第一个版本,分辨率相对较低。下一代芯片的像素更小,分辨率更高,并能搭配更时尚的眼镜。”
匹兹堡大学医学院眼科医生 José-Alain Sahel 是该研究结果论文的共同资深作者,其表示:“这是首次在大量患者身上取得如此显著的视力恢复效果。超过80%的患者能够阅读字母和单词,其中一些人甚至能读懂书中的内容。这真的是我们15年前与Palanker 踏上这段旅程时做梦也想不到的事情。患者最迫切的两个愿望是——重新阅读与重新识人。下一代系统将朝这个方向努力。”
被招募参加英国 Moorfields 眼科医院试验的患者 Sheila Irvine:“在接受植入之前,我的眼睛就像有两个黑色圆盘,外面都是扭曲的。我曾经是个狂热的书虫,现在我渴望重拾这种感觉。我既紧张又兴奋,所有那些感觉。手术过程中没有疼痛,但你仍然能意识到发生了什么。这是一种全新的视角,当我开始看到一个字母时,我兴奋极了。重新学习阅读并不简单,但我投入的时间越多,学到的东西就越多。”
当前PRIMA仅支持黑白视觉。研究团队已启动下一代系统研发,计划:
提升像素密度以增强分辨率;
引入灰阶调制,实现人脸识别等复杂视觉功能;
优化眼镜外观与算法,使体验更贴近自然视觉。
这项研究是全球首个在大规模人群中实现视觉功能重建的成功尝试,为数百万失明或重度低视力患者带来了希望。PRIMA系统的成功,标志着光电仿生视觉重建进入临床可行阶段。在细胞治疗、基因编辑之外,这一神经电子接口方案为不可逆性视网膜退行性疾病提供了新的治疗维度。
未来,随着更高分辨率芯片与AI视觉算法的结合,人工视网膜或将不再是“辅助设备”,而成为真正意义上的神经视觉延伸系统。
本文文献:
Holz FG, Le Mer Y, Muquit MMK, et al. Subretinal photovoltaic implant to restore vision in geographic atrophy due to AMD. 2025 October 20. (Epub Ahead of Print)
声明:本文仅供医疗卫生专业人士学术交流,不代表本平台观点。该等信息不能以任何方式取代专业的医疗指导,也不应被视为诊疗建议,如果该信息用于资讯以外的目的,本平台及作者不承担相关责任。