“见微清,全视界——全眼影像卓越病例大赛”自启动以来,得到了众多医院和医生的积极响应,我们收到了大量高质量的病例投稿。目前赛事进程过半,现正式对第一阶段投稿最终筛选出的13例优秀病例开启线上公众投票通道。
本轮投票采用匿名方式进行。每位用户可投三票,支持您最喜爱的三项作品。得票数前6名的参赛者将晋级决赛,在现场进行演讲并角逐最终奖项。诚邀您参与投票,共同见证优秀病例的精彩呈现!
投票时间:9月25日至10月15日
投票规则:匿名投票,每位用户共3票。
投票方式:查阅下方病例展示信息后,扫描文末二维码即可投票。
作品展示
1.中心性浆液性脉络膜视网膜病变/北京大学人民医院





(1)患者基本信息:男性,35岁
(2)主诉:左眼视力下降12天。
(3)现病史:患者因视力下降,视物模糊,在当地医院诊断为中心性浆液性脉络膜视网膜病变,现因进一步治疗,到我院眼科门诊就诊,现用药。
2.双眼糖网,双眼老年性黄斑变性/天津医科大学总医院





(1) 患者基本信息:女性,63岁
(2) 主诉:视物模糊
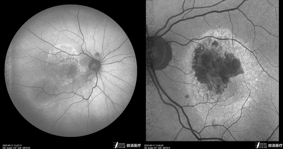
(3) 既往史:糖尿病。
3.双眼白点状视网膜病变、中山陈星海中西医结合医院


(1) 患者基本信息:女性,56岁
(2) 主诉:右眼前黑影飘动一月余。
(3) 现病史:1月余前无明显诱因出现右眼前黑影飘动,无眼痛眼胀等其他眼部症状,今来我院就诊。
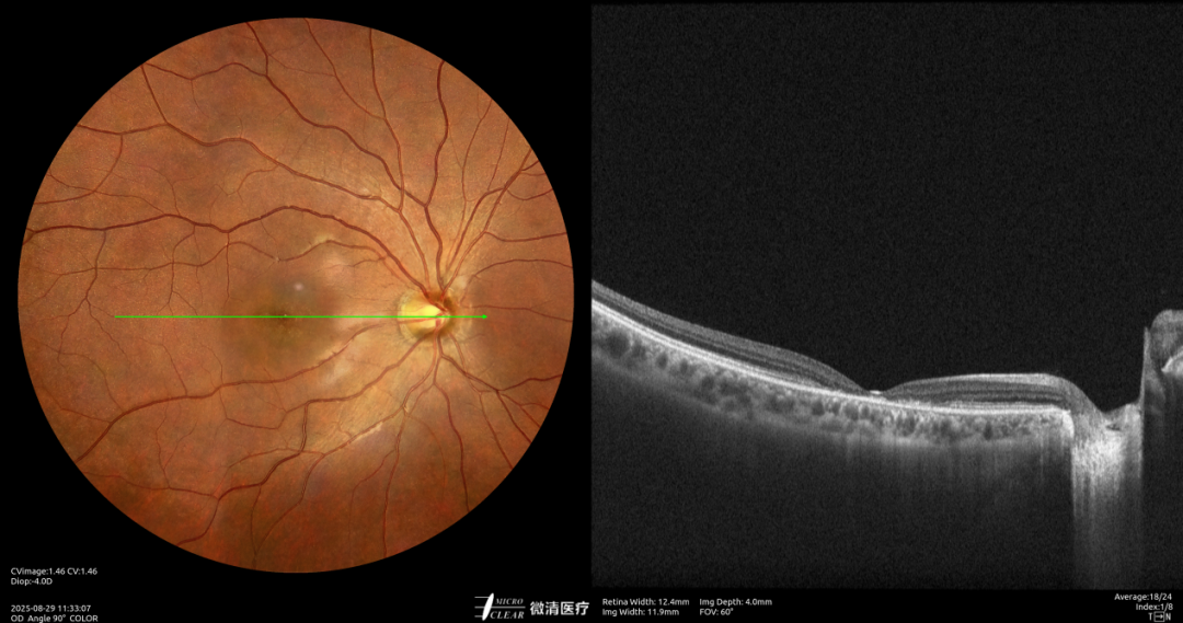
4.左眼脉络膜骨瘤/重庆医科大学附属第二医院



(1) 患者基本信息:女性,26岁
(2) 主诉:左眼视物模糊变形2月。
(3) 初步诊断:左眼脉络膜骨瘤
5.双眼湿性AMD/廊坊市人民医院



(1) 患者基本信息:男性,74岁
(2) 主诉:双眼视力下降2月。
(3) 现病史:8月8号、14号分别行双眼IVA注射,觉无明显改善。
(4) 初步诊断:老年性黄斑变性(双眼)。
6.息肉状脉络膜血管病变/北京协和医院




(1) 患者基本信息:女性,51岁
(2) 主诉:右眼视力突然下降3天。
(3) 现病史:右眼视力突然下降3天,伴黑影遮挡。
7.视网膜分支静脉阻塞/复旦大学附属眼耳鼻喉科医院




(1) 患者基本信息:女性,54岁
(2) 现病史:患者因“右眼BRVO”在我院就诊,予以抗VEGF治疗1针,现复查。
8.视网膜分支静脉阻塞/廊坊市广阳区眼科医院





(1) 一、患者基本信息:女性,69岁
(2) 二、主诉:右眼视物不清10天。
9.增殖期糖尿病视网膜病变/廊坊市人民医院





(1) 患者基本信息:女性,65岁
(2) 主诉:右眼PDR6期,玻切术后2月,自觉视力无提高。
(3) 现病史:右眼PDR6期,玻切术后2月,自觉视力无提高,上次就诊建议左眼底激光,患者未做。
10.右眼视网膜分支静脉阻塞,双眼糖网、天津医科大学总医院





(1) 患者基本信息:男性,45岁
11、Coats/中国人民解放军中部战区总医院





(1) 患者基本信息:男性,61岁
(2) 主诉:右眼视力下降3年余,加重2月余。
(3) 初步诊断:右眼湿性年龄相关性黄斑病变、右眼视网膜大动脉瘤、右眼coats病。
12.小柳原田综合征/中山陈星海中西医结合医院




(1) 患者基本信息:女性,18岁
(2) 主诉:双眼视朦一周。
13.双眼黄斑变性(Stargardt病待查)/重庆医科大学附属第二医院




(1) 患者基本信息:女性,10岁
(2) 主诉:双眼视力下降2年。
(3) 初步诊断:双眼黄斑变性(Stargardt病待查)
扫描下方二维码,为您喜欢的作品投票~

病例大赛仍在进行中,我们诚挚地邀请您分享优秀临床案例。您可关注【微清医疗】或【医信眼科】官方微信公众号(任选其一)。关注后,在公众号对话框发送关键词“病例大赛投稿”,即可获取投稿链接并进行在线提交。回复“模板”,可获取投稿文档模板。
声明:本文仅供医疗卫生专业人士学术交流,不代表本平台观点。该等信息不能以任何方式取代专业的医疗指导,也不应被视为诊疗建议,如果该信息被用于资讯以外的目的,本平台及作者不承担相关责任。